
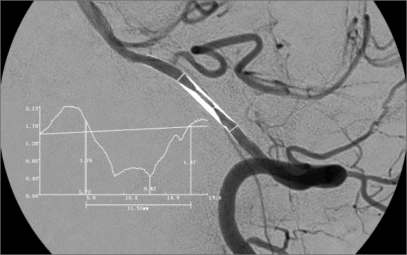
脑血管造影定性和定量分析(DSA)
- 脑血管疾病的定性诊断
- 狭窄部位,及狭窄长度的测定
- 最狭窄管腔直径及参考管腔直径的测定
- 介入治疗后残余狭窄及参考管腔直径的测定
- 详细的脑血管病灶描述,如钙化分析,斑块破裂、出血、溃疡
- 脑血管解剖变异的描述
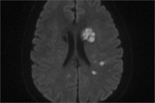
脑核磁共振定性和定量分析(MRI)
- 脑梗死灶的精确定位
- 脑梗死机制分析
- 脑梗死灶的数量、体积测定
- 脑梗死供血血管分析


脑血管高分辨核磁共振分析(HRMRI)
- 病变部位(冠状位)
- 病变部位(轴位)
- 斑块表面规则与否
- 是否为颅内串联病变
- 斑块/血栓的长度
- 斑块负荷
- 重塑比
- 斑块高信号(HIP)
- 强化指数
血管内光学相干断层成像(OCT)
- 斑块裂隙(纤维帽连续性)的判读
- 纤维帽厚度的测定
- 管腔狭窄程度的测定
- 钙化程度及模式(结节 vs 分散、浅表 vs 深在)的判读,以及钙化指数的测定
- 腔内血栓/斑块侵蚀的判读
- 新生血管/滋养血管的判读
- 介入治疗后靶血管的细节描述


计算机流体力学分析(CFD)
- 最狭窄管腔和参考血管的管腔直径测定,以及远端直径减少率
- 单位时间壁剪切力、壁剪切力(WSS)测定
- 振动剪切指数(OSI)、相对滞留时间的测定
- 血流储备分数(FFR)测定
- 压强降低系数,下游外层血管阻抗测定
血管超声分析(VU)
- 斑块性质的判读
- 狭窄部位内中膜厚度测量
- 最狭窄管腔和参考血管的管腔直径测定
- 最狭窄管腔和参考血管的管腔面积测定
- 收缩期血流峰值流速测定,舒张期血流峰值流速的测定
- 阻力指数测定
- 频谱信号变化

